• Facebook
  • Mail
  • Hours: Mon-Thur 8-5
  • Get Directions
(815) 235-7484
Awender Family Dental
  • Home
  • About
  • Services
  • Testimonials
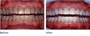
  • Whitening
  • Contact
  • Menu Menu

Designed by Marck Design
  • Facebook
  • Mail
Scroll to top